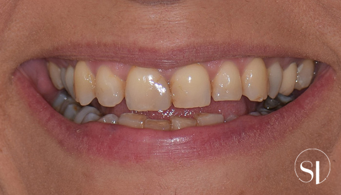
A partir d’une analyse photo et vidéo de votre visage, nous construisons en laboratoire une maquette de vos futures dents que vous essaierez au cabinet. Cette méthode innovante nous permet de discuter ensemble du choix de la forme et de la couleur de vos futures dents afin d’obtenir votre sourire idéal.
Grâce à cette technique vous pouvez valider avec notre équipe et votre entourage le résultat final de votre sourire.
Retrouvez ci-dessous la liste des soins proposés par le Dr Pauline VALCKE et le Dr Victoria GUERINEAU. Si vous avez des questions, n'hésitez pas à nous contacter.